67
99976-7515
PRODUTOS PRIETO
VOLTAR PARA CLINICA PRIETO
PRIETO
CURSOS
PRIETO
BRACKET
PRIETO
LABORATÓRIO
ARTIGOS
CASOS
CLÍNICOS
DICAS
CLÍNICAS
DIPLOMAÇÃO
BBO
PRIETO CURSOS
PRIETO BRACKET
PRIETO LABORATÓRIO
ARTIGOS
CASOS CLÍNICOS
DICAS CLÍNICAS
DIPLOMAÇÃO BBO
Casos BBO
Caso 1
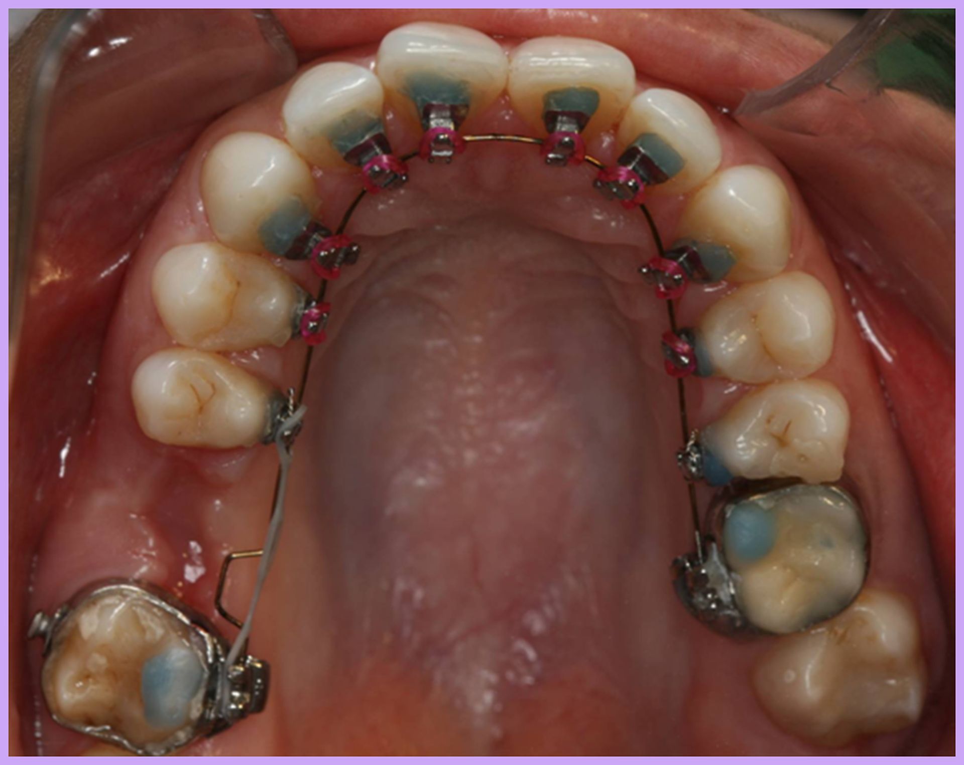
PACIENTE:
Sexo Feminino | 28 anos e 3 meses | Leucoderma
Observações do caso:
Anteroposterior:
Classe II, divisão 1 subdivisão direita
Transversal:
Dimensões compatíveis
Vertical:
Trespasse normal
Incisivos superiores:
Girados e verticalizados na base
Incisivos inferiores:
Verticalizados na base; rotação do dente 41
Linha média:
Inferior normal e a superior desviada para a esquerda
Principal queixa:
Incisivos desalinhados
+
+
+
+
+
+
+
+
+
+
+
+
+
+
+
+