67
99976-7515
PRODUTOS PRIETO
VOLTAR PARA CLINICA PRIETO
PRIETO
CURSOS
PRIETO
BRACKET
PRIETO
LABORATÓRIO
ARTIGOS
CASOS
CLÍNICOS
DICAS
CLÍNICAS
DIPLOMAÇÃO
BBO
PRIETO CURSOS
PRIETO BRACKET
PRIETO LABORATÓRIO
ARTIGOS
CASOS CLÍNICOS
DICAS CLÍNICAS
DIPLOMAÇÃO BBO
Casos BBO
Caso 8
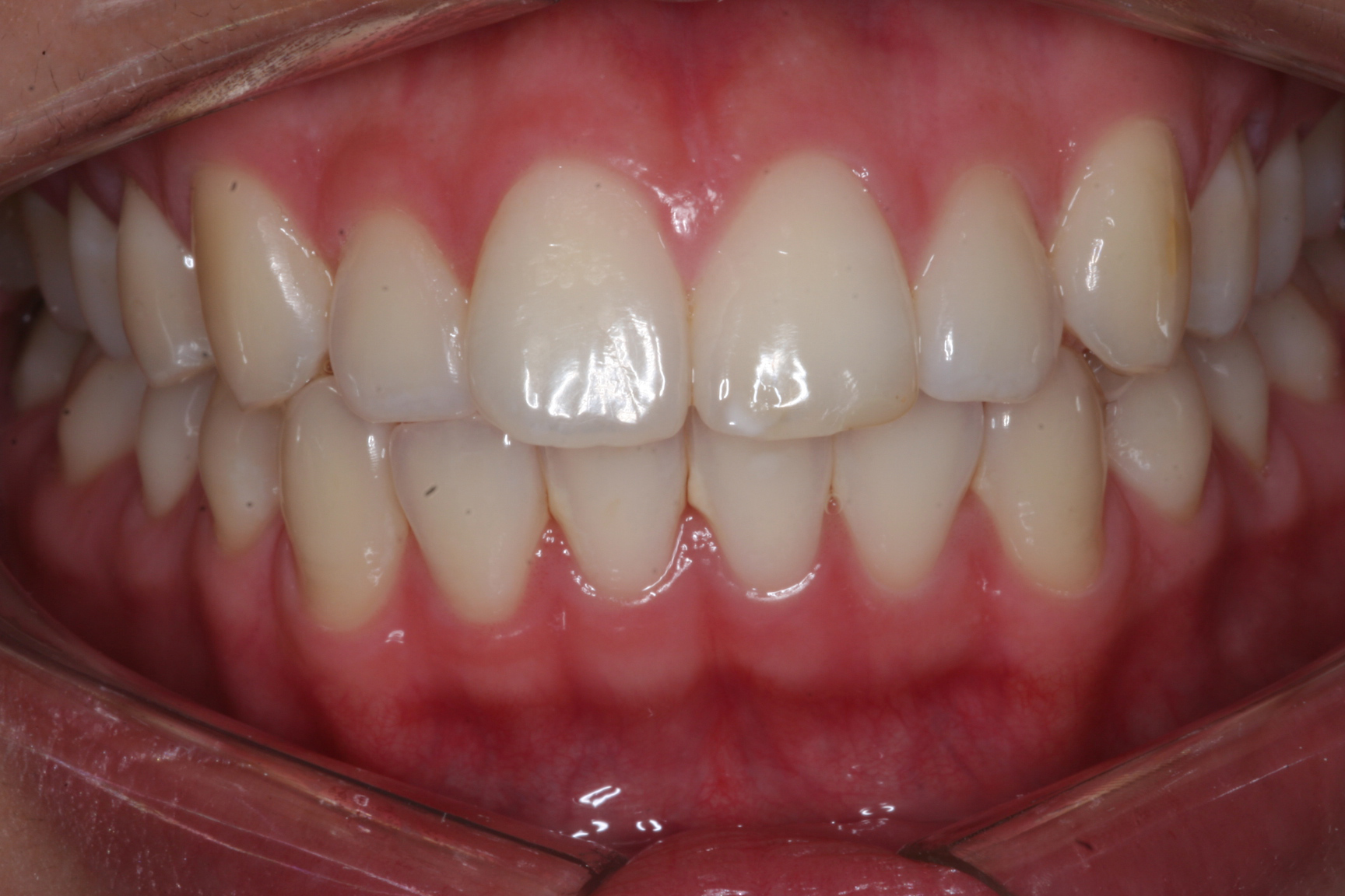
PACIENTE:
Sexo Feminino | 23 anos e 5 meses | Xantoderma
Observações do Caso:
Anteroposterior:
Classe I de Angle com biprotrusão
Transversal:
Suave atresia. Molares inferiores com torque lingual
Vertical:
Trespasse defi ciente
Incisivos superiores:
Apinhamento anterior; inclinados e protruídos
Incisivos inferiores:
Apinhamento anterior; inclinados e protruídos
Queixa Principal:
Excesso de exposição dos incisivos
+
+
+
+
+
+
+
+
+
+
+
+
+
+
+
+
+
+